患者谢某,男,64岁,2015年曾在河南省人民医院行冠状动脉造影术+支架植入术,前降支近段植入支架1枚。2019年1月2日,因活动后出现胸闷症状并加重1周被收治我院心血管内科,初步诊断为PCI术后冠心病不稳定心绞痛。
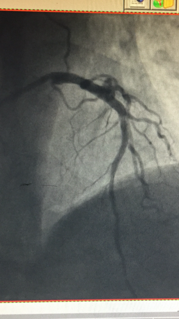
左主干中段狭窄90%

植入支架

术后狭窄消失,血液流通
冠脉造影提示:左主干中段狭窄90%,患者随时可能出现猝死的危险,且药物治疗根本无效。
1月4日下午14点48分,虞城县人民医院导管室,病人局部麻醉后,高主任联合郑州大学一附院心血管内科赵荫涛教授从容而谨慎地开始了左主干介入手术。手术采用右手桡动脉入径,安置导丝...短短32分钟紧张而默契的操作,成功解决患者生命威胁。目前患者胸闷症状完全消失,各项生命体征平稳,正逐步康复中。
左主干狭窄有多可怕?
由于左主干在心脏中位置特殊,一旦血流中断会造成极为严重的后果,一度被公认为介入治疗的“禁区”。左主干,即心脏左冠状动脉主干,长度平均仅10mm,分支为左回旋支、左前降支,支配着整个左心系统的供血任务。左主干病变在冠脉病变中是最具风险的病变,一旦血流阻断,病人就会出现严重的心肌缺血并发症,随时可能发生猝死。
冠脉介入治疗正不断迈上新的台阶,成为心内科的特色技术,为越来越多的冠心病患者带来健康。